WE ARE OPEN EVERY DAY  08:00 – 20:00

ORTHODONTICS

Orthodontics

Expert Orthodontic Treatment at Theerthas Tooth Affair, Kerala

At Theerthas Tooth Affair, one of Kerala’s most trusted dental clinics, we offer expert orthodontic treatment to enhance both your smile and oral health. Misaligned or crowded teeth, also known as a “bad bite,” can lead to tooth decay, gum disease, and tooth loss due to improper cleaning.Our orthodontic care straightens teeth, ensuring a “good bite,” where the upper and lower teeth align perfectly. This makes it easier to clean, chew, and speak, helping your teeth last a lifetime with proper care.

Trust Theerthas Tooth Affair for personalized orthodontic solutions that improve your smile and support long-term oral health.

With a healthier, straighter smile, you’ll find it easier to chew, speak, and clean your teeth properly, leading to long-term oral health and well-being. Whether you’re an adult or a child, orthodontics at Theerthas Tooth Affair can give you the smile you’ve always wanted and the benefits that last a lifetime.

Consultation

At Theertha’s Tooth Affair, our experts will evaluate your smile and discuss personalized treatment options with you.

Schedule today!

Common orthodontic treatments

Orthodontics is a branch of dentistry that specializes in the diagnosis, prevention, and treatment of dental and facial irregularities. Orthodontists use various techniques and appliances to align teeth, improve bite, and enhance facial aesthetics.

A Discreet Path to a Perfect Smile

Orthodontic Treatment with Clear Aligners

Orthodontic treatment with clear aligners, such as Invisalign, involves using a series of custom-made, transparent trays to gradually move teeth into their correct position. Unlike traditional metal braces, clear aligners are virtually invisible and removable, offering a more discreet and convenient option for straightening teeth.

A Discreet Path to a Perfect Smile

Your orthodontist checks if aligners are right for you.

Scans or impressions of your teeth are used to make personalized aligners. Each set is worn for 1-2 weeks.

Wear the aligners for 20-22 hours daily, removing them only for meals and cleaning.

Every few weeks, switch to a new set as your teeth gradually move. Regular check-ups ensure progress.

After treatment, retainers may be needed to keep your smile in place.

types of Aligners

Invisible aligners are a popular choice for people seeking orthodontic treatment due to their discreet appearance and convenience. There are several types of invisible aligners available, each with its own features:

  • Invisalign

    Invisalign uses clear, medical-grade plastic aligners to gradually move teeth. Customized for each patient, they are removable for eating and brushing, with changes needed every 1-2 weeks.

    Invisalign
  • ClearCorrect

    ClearCorrect aligners, made from clear BPA-free plastic, are known for their durability and comfort. They offer various treatment options, are customized for each patient, and need to be changed regularly, similar to Invisalign.

     ClearCorrect
  • SmileDirectClub

    This direct-to-consumer option allows patients to receive aligners without visiting an orthodontist in person. After an impression or 3D scan of their teeth, aligners are sent to them, with regular virtual check-ups provided.

    SmileDirectClub
  • Candid

    Candid offers remote treatment combined with in-person consultations at "Candid Studios." Their BPA-free plastic aligners are supervised by licensed orthodontists, focusing on minor to moderate misalignment cases.

    Candid
  • SureSmile

    SureSmile aligners are custom-designed using 3D imaging technology, typically used for moderate to severe orthodontic cases. Treatment is supervised by a dentist or orthodontist, providing precise results through advanced scanning technology.

    SureSmile
  • Inman Aligners

    Inman aligners, though not fully invisible, are removable and use springs to apply gentle pressure on the teeth. They are primarily used for minor alignment issues, especially with the front teeth.

    Inman Aligners

Aligners over braces

Aligners can be cleaned easily compared to the braces. They need not be tightened like braces at frequent intervals There are no restrictions on the food also. They are not painful and do not hinder your smile like the metallic braces. It is very useful for people studying or working at far away places and find it difficult to attend every appointment.

Traditional and most common type, made of stainless steel or titanium.

Traditional and most common type, made of stainless steel or titanium.

Clear, removable aligners, ideal for mild to moderate cases.

Hidden behind the teeth, suitable for those concerned about appearance.

Aesthetic option, made of gold-plated stainless steel.

Hypoallergenic, lightweight, and strong.

without metal braces.

Use clips instead of elastic bands, faster treatment.

Transform Your Smile with Customized Orthodontic Care

Achieving a straighter smile has never been easier! Our expert orthodontic treatments at Theerthas Tooth Affair are designed to align your teeth and improve your bite. With options like braces and clear aligners, we tailor each treatment to meet your unique needs. Our skilled orthodontists ensure you receive the highest quality care for a healthier, more confident smile.

Benefits

Orthodontic treatment offers numerous benefits, including improved oral health, enhanced appearance, increased self-esteem, better chewing and speaking function, and a reduced risk of tooth wear and tear.

Treatment

At Theerthas Tooth Affair, we offer a variety of orthodontic treatments, including metal, ceramic, and clear braces, as well as clear aligners like Invisalign. Our options also include retainers, orthodontic headgear, and functional appliances such as expanders to suit your specific needs.

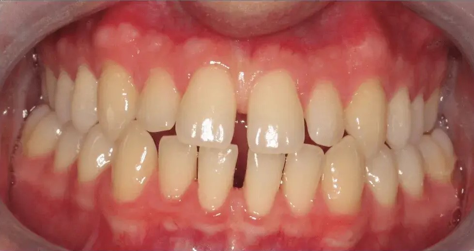
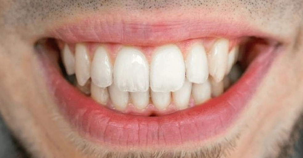
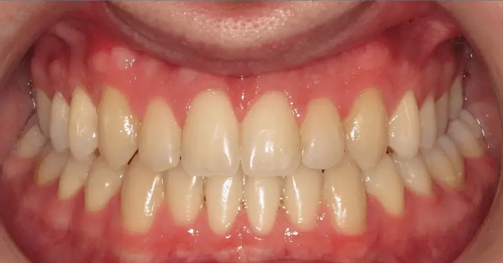
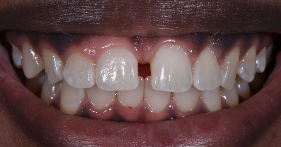
Transforming Smiles:
Our Orthodontic Journey

c1c2
d1d2
e11e2

Expert orthodontic care in action at Teertha’s ToothAffair—your path to a perfect smile.

Got questions about orthodontics?

You’re not alone! At Theerthas Tooth Affair, we answer common inquiries about treatment options, timelines, and costs to help guide your smile journey. 

Treatment usually lasts between 6 months to 2 years, depending on the complexity.

We offer metal, ceramic, and clear braces, as well as clear aligners like Invisalign.

Some discomfort may occur after adjustments, but it usually subsides quickly.

Typically, you’ll need to visit every 4-8 weeks for adjustments.

No, orthodontic treatment is effective for both children and adults.