Implants & Guided Implants
Implants & Guided Implants
Transform Your Smile with Precision Dental Implants for Lasting Confidence and Health.
Rediscover the joy of a complete smile through our advanced implant dentistry solutions. Our team is committed to enhancing both your oral health and aesthetic appeal by expertly replacing missing teeth. Dental implants offer a host of advantages beyond traditional alternatives. With a natural look and feel, they seamlessly integrate into your smile, providing durability and long-lasting benefits. By preserving jaw health and improving bite functionality, implants empower you to enjoy life to the fullest. Our meticulous implant procedure involves comprehensive assessment, precise placement, a healing phase for stability, and the attachment of a custom restoration.
Embark on your journey towards a confident smile today by scheduling a consultation. Experience the transformative power of modern implant dentistry under our dedicated care.
Other Services
Schedule Your Consultation Today!
Take the first step towards a brighter smile! Click here to book your free consultation with our expert team and discover how Laser Teeth Whitening can transform your look.
guided mplants
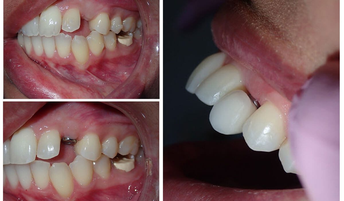
Guided implant surgery, also known as computer-guided implant placement or digital implant dentistry, is a modern dental technique that uses advanced technology to precisely plan and place dental implants.
Here’s how it works:
Digital scanning
A 3D scan of the patient’s mouth and jaw is taken using a cone beam CT scanner or intraoral scanner.
Software planning
The scan data is imported into specialized software, allowing the dentist to plan the ideal implant placement virtually.
Surgical guide creation
A custom-made surgical guide is created based on the virtual plan, which guides the dentist during the implant placement procedure.
Precise placement
The surgical guide ensures accurate and precise placement of the implant, minimizing the risk of errors or complications.
Surgically placed
Implants are inserted into the jawbone through a surgical procedure.
Titanium or other materials
Implants are typically made of titanium or other biocompatible materials.Supports crowns, bridges, or dentures: Implants can support a single crown, a bridge, or a full denture.
Cost
The cost of dental implant surgery varies, and the following factors can influence it: the number and types of implants required the location of the implants within the jaw whether there is a need for any additional procedures to prepare the mouth for surgery
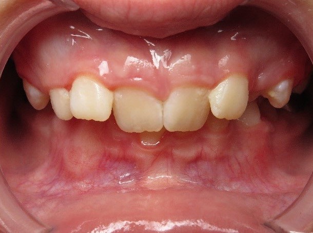
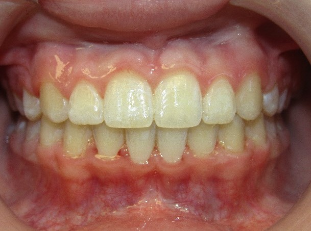
Service Implants
A dental implant is a structure that replaces a missing tooth. With screw-like devices, the surgeon inserts an implant into the jawbone, and it acts as an anchor for an artificial tooth, called a crown.A device called an abutment connects the artificial tooth to the dental implant.
The crown is custom-made to fit the person’s mouth and match the color of their teeth. Crowns look, feel, and function like natural teeth.
Artificial tooth root: Implants replace the natural tooth root, providing a stable base for replacement teeth.
Dental implants offer numerous benefits, including:
- Improved chewing and speaking ability
- Enhanced appearance and self-confidence
- Durability and long-term solution
- Comfort and convenience
- Implants have a higher success rate
- implants lead to a lower risk of cavities developing in nearby teeth
- implants lead to better maintenance of bone at the site
- implants lead to better maintenance of bone at the site of the lost tooth
- do not need to be taken out and cleaned every night
Dental Implant Services

At Theerthas tooth affair our expert team has achieved outstanding results in dental implant procedures, transforming the lives of numerous patients. Our commitment to excellence and state-of-the-art technology ensures exceptional outcomes.